This website is being migrated. In case you don't find the information you are looking for, the old website can be found here. Thank you for reporting any anomalies to communication@ill.eu.

Infos

Hani Slow Concrete image.jpg
6 avril 2022 Revealing the secrets to longer-living concrete
After water, concrete is the most widely used substance on Earth. It’s the foundation to major structures all over the world and has been used for centuries – since the Roman Empire. But now, our oldest concrete-based infrastructure is approaching the end of its expected lifespan. Understanding the longevity of concrete is imperative for the safety of concrete buildings. We need to know when a co…
220310_FICD_AMPylation_deAMPylation.png
6 avril 2022 Exploring the protein folding chaperones at the heart of our cells
Insulin is a hormone that is rapidly secreted into the blood, following a meal, in order to control blood glucose levels. These pulses of insulin secretion enable the body to take up and store sugar and quickly return blood glucose to normal levels. Diabetes, which affects 1 in 10 people in Europe, occurs when this process goes wrong.The endoplasmic reticulum (ER), a protein-producing compartment…
220316 Muller Fig1.jpg
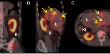
17 mars 2022 A superior radionuclide for cancer treatment
Radioactive isotopes offer excellent treatments for cancers that have spread. The ILL is working with other institutions to produce and test a potentially new clinical radioisotope, terbium-161, that promises to be more effective in killing cancer cells than similar radioisotopes currently in clinical use. Isotopes that emit short-range radiation in the form of electrons or alpha particles offer …
220317 manganese sublattices_Zaharko.jpg
17 mars 2022 Frustrated antiferromagnets in a whorl
Tiny vortices in magnetic materials called skyrmions act like quantum particles. If able to be stabilised and then manipulated, they could lead the next-generation of electronic devices that exploit magnetic spin to transfer and store information. A new type of skyrmion discovered in an antiferromagnetic compound could wind up progress in the right direction.The study of complex magnetic behaviou…
210112_FePS3_4x3_720x540px.png
16 mars 2022 Putting the pressure on magnetism
Applying pressure to metal compounds with electronic and magnetic properties of technological interest provides a uniquely powerful way of tuning those properties so as to understand them better. Through record-breaking high-pressure measurements, we have been able to track the fascinating evolution of conductivity and magnetism in an interesting layered compound as the layers of atoms are pushed…
Hani Slow Concrete image.jpg
16 mars 2022 Revealing the secrets to longer-living concrete
After water, concrete is the most widely used substance on Earth. It’s the foundation to major structures all over the world and has been used for centuries – since the Roman Empire. But now, our oldest concrete-based infrastructure is approaching the end of its expected lifespan. Understanding the longevity of concrete is imperative for the safety of concrete buildings. We need to know when a co…
210721_SpikeS_membrane_web article_FR.jpg
22 juillet 2021 La réflectométrie neutronique révèle que la protéine Spike du SRAS-CoV-2 provoque l’arrachement des lipides de la membrane cellulaire
La réflectométrie neutronique révèle que la protéine Spike du SRAS-CoV-2 provoque un arrachement des lipides de la membrane cellulaire.Une nouvelle information sur les mécanismes d'infection du SRAS-CoV-2, utile pour le développement de futurs traitements et vaccins protégeant de variants pl…